8
1
 
1
1
בארץ ובעולם  |  בריאות ונפש  |  התנדבות וקהילה  |   חוק ומשפט  |  ספורט נכים  |  רפואה משלימה   |  תזונה נכונה  |   כניסת כתבים   |  פייסבוק חיפוש
1
גישה חדשה לרפואת סרטן מותאמת-אישית: ציתות למסרים הפנימיים בתוך תאי הגידול


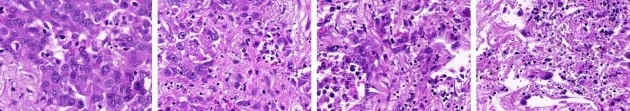
מערכת        צילום: דוברות מכון ויצמן



דגימה של רקמת סרטן ריאות שלא הגיבה לתרופה המעכבת מיקרו-צינוריות (משמאל) ולא לתרופה המגבירה את המסלול המוביל לאפופטוזיס (במרכז) אך כששתיהן פעלו יחדיו, תאי הסרטן חוסלו (מימין)
 


מאבק מוצלח בסרטן תלוי במידה רבה בבחירת הטיפול הנכון, אך בארגז הכלים של הרופאים אין כיום מבחר מספק של שיטות אמינות להתאמת טיפול מיטבי לכל חולה. מדענים ממכון ויצמן למדע וממכון ברוד שבקיימברידג', מסצ'וסטס, פיתחו שיטה חדשה להתאמת טיפול לחולים על-בסיס מסרים המועברים בתוך תאי הגידול שלהם. שיטה זו שממצאיה התפרסמו באחרונה בכתב-העת המדעי Nature Communications, עשויה לעזור לא רק בבחירת טיפול אלא גם בזיהוי מטרות מולקולריות לפיתוח תרופות עתידיות.
 
הדרך הנפוצה ביותר כיום להתאים טיפול לחולי סרטן היא באמצעות חיפוש מוטציות מסוימות בתאי הגידול. עם זאת, זיהוי המוטציות בגידול אינו מבטיח שהטיפול המתאים אכן יעבוד בחולה מסוים, ובכל מקרה, טיפולים רבים כלל אינם מכווני מוטציות. בנוסף, למרות ניסיונות רבים לנבא את יעילות הטיפול בסרטן בהתבסס על רמת הביטוי של גנים מסוימים בגידול, ולא על סמך המוטציות שבו, יש מעט מאוד הצלחה בבחירת טיפולים מותאמים אישית בשיטה זו. במחקר החדש, חברו יחד קבוצות המחקר של ד"ר רביד שטראוסמן מהמחלקה לביולוגיה מולקולרית של התא במכון ויצמן למדע ושל ד"ר גדי גץ ממכון ברוד של MIT והרווארד במטרה לפתח שיטה יעילה יותר להתאמת טיפול לחולי סרטן. השיטה החדשה שפיתחו אינה מתבססת על חיפוש מוטציות או על רמת הביטוי של גנים בודדים, אלא על ציתות למסרים בתוך תאי הגידול: מסלולי אותות ביוכימיים המשפיעים על סוגיות הרות גורל – משינויים בחילוף החומרים של התא ועד ההחלטה אם להתחלק או למות. בכל מסלול שכזה מתבטאים גנים רבים, ולכן נדרשות גישות מתוחכמות כדי לחשוף את פעילותם.
 
בשנים האחרונות נוצרו בעולם מאגרי נתונים עצומים המכילים מידע רב על תאי הסרטן ורגישותם לטיפולים שונים. המדענים, בהובלת החוקרת הבתר-דוקטוריאלית ד"ר רותם בן-חמו, פנו למאגרים אלה וניתחו נתונים על מסלולי אותות בכ-460 סוגי רקמות סרטניות מעשרה סוגי סרטן. באמצעות תוכנה ביו-אינפורמטית מתקדמת הקרויה PathOlogist - שפיתח פרופ' סול עפרוני מאוניברסיטת בר-אילן – הצמידו המדענים לכל מסלול בכל רקמה "ציון" המשקף את רמת הפעילות של אותו מסלול. הציונים הסתמכו לא רק על רמת ביטוי הגנים במסלול אלא גם על מבנה המסלול, קשרי הגומלין בין הגנים השונים הפעילים בו והאם גן מסוים חוסם או מגביר את המסר של המסלול כולו. לאחר מכן השוו המדענים את הציונים שקיבלו עם מאגרי נתונים המכילים מידע על רגישות תאי סרטן שונים לכ-500 תרופות.
 
החוקרים גילו כי רמת הפעילות של חלק מהמסלולים אפשרה להם לנבא את הרגישות של גידולים שונים ליותר מ-30 תרופות אנטי-סרטניות הנמצאות כיום בשימוש. במלים אחרות, הם יצרו "פרופיל" לרקמות סרטניות שעשוי לכוון רופאים לתרופות מיטביות לחיסול הסרטן. כך למשל, כאשר תאים מסוימים של סרטן ריאות הכילו רמת פעילות גבוהה במסלול המוביל למוות תאי מתוכנן הקרוי אפופטוזיס, היה סיכוי גבוה לכך שתרופות מהסוג "מעכבי מיקרו-צינוריות" (microtubule inhibitors) יהרגו את התאים האלה.
 
בהמשך הראו המדענים כי הם יכולים להשתמש בממצאים לא רק כדי לנבא איזו תרופה תהיה יעילה לאיזה חולה, אלא גם כדי לשנות את תגובת תאי הסרטן לתרופה. הם נטלו דגימה של רקמת סרטן ריאות שבה, על-פי הניתוח שלהם, הייתה חסרה הפעילות של המסלול המוביל לאפופטוזיס. בניסוי במעבדה, תאים של רקמה זו אכן היו עמידים לתרופה מהסוג "מעכבי מיקרו-צינוריות", אך כאשר הוסיפו לתרבית חומר המגביר את מסלול האפופטוזיס – התרופה חיסלה את תאי הסרטן ביעילות.
 
המדענים השוו גם בין רמת הפעילות של מסלולי אותות בתאים לבין סוג נוסף של נתונים: אילו גנים משחקים תפקידי מפתח בגידולים שונים, כך שהשתקתם תוביל לחיסול הגידול. הם מצאו כי גם כאן, רמת פעילות המסלולים אפשרה להם לזהות גנים "רגישים" בגידולים שונים. למשל, הם גילו כי גידולי שד עם פעילות מסוימת במסלול המכיל את הגן BRCA - פעילות שהעידה על מוטציה בגן זה – תלויים ביותר בגן הקרוי MAD2L1. על-פי ממצא זה, השתקת הגן תוביל לחיסול תאי הגידול בחולות עם מוטציית ה-BRCA. ממצאים אלה יכולים לשמש נקודת מוצא בחיפוש אחר תרופות קיימות או חדשות לחולות אלה.
 
במחקר השתתפו ד"ר עדי יעקב ברגר, ד"ר ננסי גברט וד"ר יערה צונג מהמחלקה לביולוגיה מולקולרית של התא של מכון ויצמן למדע; ד"ר מנדי מילר ממעבדתו של ד"ר גץ במכון ברוד; ד"ר גיא פינס מהמרכז הרפואי קפלן; ד"ר רוני אורן מהמחלקה למשאבים וטרינריים של מכון ויצמן למדע; ד"ר אלי פיקרסקי וד"ר צחי נוימן מהאוניברסיטה העברית בירושלים; וד"ר סיריל בנס מבית החולים הכללי במסצ'וסטס (MGH)
.



 
 


 
1
 
כותרות היום - מבזקים   24/7
1
 
1
דוברות מד״א בשעה 11:06 התקבל דיווח במוקד 101 של מד"א במרחב איילון על ת.ד בין משאית ורכב פרטי בכביש 431 מרמלה דרום לכיוון נשרים. חובשים ופראמדיקים של מד"א העניקו טיפול רפואי ופינו לבי"ח שמיר-אסף הרופא אישה בת 36 במצב בינוני עם חבלות ראש ובטן, וילד בן 6 במצב קל. טימור

עמותת נגישות ישראל עורכת כנס מקצועי ייעודי במיוחד עבורכם, על מנת לסייע לכם למלא את תפקידכם בארגון בצורה היעילה והמקצועית ביותר. 
בואו ללמוד איך נותנים שירות לאנשים עם מוגבלות שקופה, מה חדש בנציבות שוויון זכויות לאנשים עם מוגבלות, לקבל כלים חדשים לביצוע תפקידכם, לשמוע על דוגמאות מהשטח ועוד. 
3.5 | 10:00 - 13:45 | בזום | 65 ש״ח למשתתף.
במידת הצורך ניתן ליצור קשר: 
טל וייס | טלפון: 054-3951414 | מייל kursim@aisrael.org

הספריה המרכזית לעיוורים ולבעלי לקויות קריאהתמיד חלמתם ליצור סיפור מתח ולא העזתם? ובכלל, איך כותבים ספר מתח וגורמים לו להיות מפתה, מסקרן ובעיקר כזה שאי אפשר להפסיק לקרוא אותו? 
 
יגאל צור, איש רב פעלים; עיתונאי, מגיש בטלוויזיה, מדריך טיולים וכבר הרבה שנים - גם סופר של ספרי מתח, יתארח אצלנו בספריה לעיוורים במסגרת כיתת אמן ויסביר את האומנות הסודית מאחורי ז'אנר ספרות המתח. השידור יועבר אליכם ביום שני הקרוב ה3.5 בשעה 16:00 בדיוק.  
 
במפגש יעניק צור 10 טיפים חשובים וקלים לכתיבת סיפור (מתח) טוב ואתם לא רוצים לפספס את זה. 
כאמור, האירוע יועבר בלייב דרך ערוץ היוטיוב שלנו וכמובן ניתן יהיה לשאול שאלות בצ'ט תוך כדי המשדר.
 
הלינק להאזנה וצפייה ייפתח לשידור ביום האירוע בשעה 16:00
-קישור ליוטיוב
 
הצטרפו אלינו :)  
 
  מערכת החדשות:  077-330-8993
   
פרשת השבוע
מפי הבחור ינון דהן היו'
שבת קודש פרשת בהר בחוקותי כ"ו אייר התשפ"א
1
האינדקס המרכזי
18,930 בעלי עסקים ונותני שירות
 


אבחון וטיפול אלטרנטיבי
 

אביזרי
חבישה
     


אביזרי שיקום
 
     


אופטומטריסטים
 

אופטיקאים
     


אחיות פרטיות
 

אירידיולוגיה
     


אמבולנס פרטי
 

ארומתרפיה
     


ביופידבק
 

בית לחיים
     


בית אבות
דיור מוגן
 

בתי הבראה
והחלמה
     


בתי
חולים
 

בתי חולים
לבריאות הנפש
     


בי"ח סיעודיים וגריאטריים
 

בתי
טבע
     


בתי מרקחת
 

גוף ונפש
     


דיאטנים
 

הומאופתיה
     


הידרותרפיה
 

הילינג
     


היפנוזה
 

הסעות נכים
     


השמת ע.זרים
 

ויטמינים
     


חיתולים למבוגרים
 

טווינא
     


טיפול אלטרנטיבי בילדים
 

טיפול באמצעות בעלי חיים
     


טיפול באמצעות יצירה והבעה
 

טיפול בהפרעות זיכרון
     


טיפול בהפרעות שינה
 

טיפול באמצעות ציורי ילדים
     


יועצי תזונה
 

כירופרקטיקה
     


כירורגיה של היד
 

מגנטותרפיה
     


מדיטציות
 

מוצרים אורטופדיים
     


מוקדי עזרה ראשונה
 

מכונים
רפואיים
     


מכשירי שמיעה ואביזרים
 

מנגנוני נכים
לרכב
     


מרחצאות ומעיינות מרפא
 

נטורופתיה
     


נעליים
אורטופדיות
 

עורכי דין
ביטוח
     


עורכי דין
ביטוח לאומי
 

עורכי דין
דיני נזיקין
     


עורכי דין
רשלנות רפואית
 

פודיאטרים
     


פיזיותרפיה
 

פיזיותרפיה התפתחותית
     


פילאטיס
 

פלדנקרייז
     


פסיכוגריאטריה
 

פסיכולוגיה התפתחותית
     


פסיכולוגיה שיקומית
 

פסיכותרפיה
     


פרחי באך
 

ציוד ואביזרים
     


קינסיולוגיה
 

קלינאי תקשורת
     


רולפינג
 

רכב חשמלי
     


רכיבה טיפולית
 

רפואה סינית
     


רפלקסולוגיה
 

שיאצו
     


שיטת אלבאום
 

שיטת אלכסנדר
     


שיטת פאולה
 

שיקום נכים
     


שירותי
סיעוד
 

תזונה ודיאטות טבעיות
     


תרפיה במוסיקה
  רישום לאינדקס
     

אבחון וטיפול אלטרנטיבי אביזרי חבישה אביזרי שיקום אוסטיאופתיה אופטומטריסטים
אופטיקאים אחיות פרטיות אירידיולוגיה אמבולנס פרטי ארומתרפיה
ביופידבק בית לחיים בית אבות, דיור מוגן בתי הבראה והחלמה בתי חולים
בתי חולים לבריאות הנפש בי"ח סיעודיים וגריאטריים בתי טבע בתי מרקחת גוף ונפש
דיאטנים הומאופתיה הידרותרפיה הילינג היפנוזה
הסעות נכים השמת עובדים זרים ויטמינים חיתולים למבוגרים טווינא
טיפול אלטרנטיבי בילדים טיפול באמצעות בע"ח טיפול ע"י יצירה והבעה טיפול בהפרעות זיכרון טיפול בהפרעות שינה
טיפול ע"י ציורי ילדים יועצי תזונה כירופרקטיקה כירורגיה של היד מגנטותרפיה
מדיטציות מוצרים אורטופדיים מוקדי עזרה ראשונה מכונים רפואיים מכשירי שמיעה ואביזרים
מנגנוני נכים לרכב מרחצאות ומעיינות מרפא נטורופתיה נעליים אורטופדיות עורכי דין - ביטוח
עורכי דין - ביטוח לאומי עורכי דין - דיני נזיקין עורכי דין - רשלנות רפואית פודיאטרים פיזיותרפיה
פיזיותרפיה התפתחותית פילאטיס פלדנקרייז פסיכוגריאטריה פסיכולוגיה התפתחותית
פסיכולוגיה שיקומית פסיכותרפיה פרחי באך ציוד ואביזרים לנכים קינסיולוגיה
קלינאי תקשורת רולפינג רכב חשמלי רכיבה טיפולית רפואה סינית
רפלקסולוגיה שיאצו שיטת אלבאום שיטת אלכסנדר שיטת פאולה
שיקום נכים ונפגעים שירותי סיעוד תזונה ודיאטות טבעיות תרפיה במוסיקה  
 
 
כל הדרכים שלכם ליצירת קשר:

   
חזרה לדף הבית    תנאי שימוש   מדיניות פרטיות   חוק הספאם   אתיקה מקצועית   חוק זכויות יוצרים הצהרת נגישות
                       
    fax-to-mail: 153-54-7126459   דוא"ל: lelo.hagbala@gmail.com   כתובת: בן חור אליהו 14 באר שבע       מערכת החדשות: 077-330-899-3

מדיניות שימוש ב-cookies וכלים אחרים

על מנת לאפשר הפעלתו של האתר באופן מיטבי וכן לשפר את חווייתך מהשימוש בו, יתכן וייעשה שימוש בכלים מסוג "עוגיות" (Cookies), כמו גם ב"כלים אחרים" | יחד עם זאת, אנו כאן ב-אתר החדשות המרכזי לנכויות ומוגבלויות נדרשים לאישורך והסכמתך | היה ואם אין רצונך להתיר השימוש בכלים אלו, הנך נדרש/ת להפסיק באופן מיידי שהייתך-שימושך באתר | האמור ד-לעיל' מהווה תמצית "מדיניות השימוש" באתר | את הנסח המלא והמחייב ניתן למצוא בקטגוריה "מדיניות פרטיות".

בכל שאלה ובקשה ניתן לפנות באמצעות
  צור קשר  שבאתר   |   מדיניות פרטיות 


© כל הזכויות שמורות ל: עדי גולן ADI GOLAN
לייבסיטי - בניית אתרים